Kabar Internasional

Gegara Tahan Bersin, Tenggorokan Pria 30 Tahun Ini Robek

Tim detikHealth - detikJabar
Minggu, 17 Des 2023 05:00 WIB
Ngilu, Tenggorokan Pria Ini Robek Disebut gegara Sering Nahan Bersin. Foto: BMJ Case Reports
Jakarta -

BMJ Case Report mempublikasikan peristiwa seorang pria yang mengalami kondisi tak terduga. Tenggorokan pria itu robek diduga akibat menahan bersin.

Mengutip dari detikHealth, peristiwa itu terjadi saat pria berusia 30 tahun yang sakit demam tengah mengendarai mobilnya. Tiba-tiba pria itu merasa ingin bersin, tetapi ia menahannya dengan mencubit hidung dan menutup mulutnya.

Selang beberapa waktu, pria itu mulai merasakan sakit yang parah di bagian lehernya dan langsung pergi ke unit gawat darurat. Dia merasa kedua sisi lehernya membengkak hingga sulit untuk digerakkan.

Saat diperiksa, tim dokter di Inggris mendengar suara berderak samar. Namun, pria tersebut tidak mengalami masalah pernapasan, menelan, ataupun berbicara.

Robek

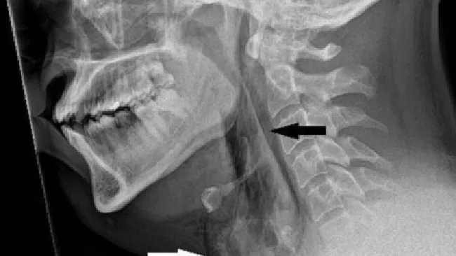
Hasil rontgen leher menunjukkan pria tersebut mengalami emfisema bedah. Kondisi saat udara terperangkap di bawah lapisan jaringan terdalam di bawah kulit.

Selain itu, dari hasil pemindaian tomografi komputer (CT) ditemukan ada robekan yang terjadi di antara tulang ketiga dan keempat, atau tulang belakang, di lehernya. Udara juga terkumpul di ruang dada di antara paru-parunya.

"Robekan tersebut disebabkan oleh peningkatan tekanan yang cepat di trakea saat bersin dengan hidung terjepit dan mulut tertutup," tulis dokter yang dikutip dari Live Science, Rabu (13/11/2023).

Meski begitu, tim dokter memutuskan pria yang tidak disebutkan identitasnya itu tak perlu dioperasi. Namun, ia harus dipantau di rumah sakit selama dua hari untuk memastikan kadar oksigen dan tanda-tanda vital lainnya tetap stabil.

Setelah menjalani pemeriksaan, pasien dipulangkan dan diresepkan obat pereda nyeri serta obat demam. Dokter juga menyuruh pasien tersebut tidak melakukan aktivitas fisik berat selama dua minggu.

Lima minggu kemudian, CT scan menunjukkan robekannya telah sembuh total. Pria tersebut mengalami luka yang cukup ringan.

Namun dokter yang terlibat dalam kasus tersebut, mengatakan kejadian semacam ini perlu menjadi peringatan bagi orang lain.

"Setiap orang harus disarankan untuk tidak menahan bersin dengan mencubit hidung sambil menutup mulut, karena dapat mengakibatkan perforasi trakea (batang tenggorokan)," tulis penulis laporan kasus tersebut.

Kasus robeknya tenggorokan secara spontan jarang terjadi, tetapi berpotensi mematikan. Sejauh ini, hanya ada sedikit kasus yang pernah dilaporkan dan biasanya disebabkan oleh trauma fisik atau cedera setelah prosedur medis, seperti operasi pengangkatan kelenjar tiroid atau pemasangan selang ke tenggorokan.

"Tergantung di mana letak robekan dan apakah tanda-tanda vital pasien stabil, pembedahan biasanya diperlukan untuk memperbaiki kerusakan," tulis penulis laporan kasus.

"Tentu saja, cedera seperti ini akibat menahan bersin sangat jarang terjadi, namun bukan berarti tidak mungkin," pungkasnya.

Artikel ini telah tayang di detikHealth dengan judul Ngilu, Tenggorokan Pria Ini Robek Disebut gegara Sering Nahan Bersin.




(sud/sud)
Berita Terkait
Berita detikcom Lainnya
Berita Terpopuler

Video

Foto

detikNetwork