Wujud otak manusia dengan presisi tinggi bisa direkam oleh mesin magnetic resonance imaging (MRI) paling canggih yang baru saja digunakan. Pemindaian ini diharapkan bisa memberikan lebih banyak pencerahan pada penyakit otak yang menghantui manusia.
Para peneliti di Komisi Energi Atom Perancis (CEA) pertama kali menggunakan mesin tersebut untuk memindai labu pada 2021. Baru di tahun ini otoritas kesehatan memberi mereka lampu hijau untuk memindai manusia.
Selama beberapa bulan terakhir, sekitar 20 sukarelawan sehat menjadi orang pertama yang memasuki mesin magnetic resonance imaging (MRI), yang terletak di kawasan Plateau de Saclay di selatan Paris, rumah bagi banyak perusahaan teknologi dan universitas.
SCROLL TO CONTINUE WITH CONTENT
"Kami telah melihat tingkat presisi yang belum pernah dicapai sebelumnya di CEA," kata Alexandre Vignaud, fisikawan yang mengerjakan proyek tersebut, dikutip dari detikHealth.
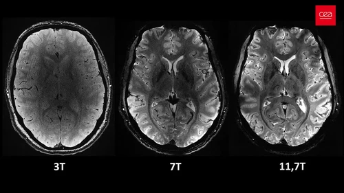
Medan magnet yang diciptakan oleh pemindai adalah sebesar 11,7 tesla, sebuah unit pengukuran yang dinamai menurut penemu Nikola Tesla. Kekuatan ini memungkinkan mesin memindai gambar dengan presisi 10 kali lebih tinggi dibandingkan MRI yang biasa digunakan di rumah sakit, yang kekuatannya biasanya tidak melebihi tiga tesla.
"Dengan mesin ini, kita bisa melihat pembuluh darah kecil yang memberi makan pada korteks serebral, atau detail otak kecil yang selama ini hampir tidak terlihat," ujarnya.
Desain tersebut merupakan hasil penelitian selama dua dekade yang dilakukan oleh kemitraan antara insinyur Perancis dan Jerman. Salah satu tujuan utama pemindai canggih ini adalah untuk menyempurnakan pemahaman kita tentang anatomi otak dan area mana yang diaktifkan ketika otak melakukan tugas tertentu.
Para peneliti berharap kekuatan pemindai ini juga dapat menjelaskan mekanisme yang sulit dipahami di balik penyakit neurodegeneratif seperti Parkinson atau Alzheimer - atau kondisi psikologis seperti depresi atau skizofrenia.
"Misalnya, kita mengetahui bahwa area tertentu di otak - hipokampus - terlibat dalam penyakit Alzheimer, jadi kami berharap dapat mengetahui cara kerja sel di bagian korteks serebral ini," kata peneliti CEA, Anne- Isabelle Etienvre.
Artikel ini sudah tayang di detikHealth, baca di sini
Baca juga: Pemkab Bima Tetapkan Status Waspada DBD |
(hsa/hsa)











































