detikJatim
RS Saiful Anwar Malang Jadi Rujukan Tangani Striktur Uretra
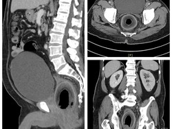
Rumah Sakit dr Saiful Anwar (RSSA) menjadi pusat rujukan penanganan striktur uretra. Striktur uretra merupakan kondisi penyempitan saluran kencing.
Rabu, 21 Agu 2024 05:31 WIB







































