Nasional

Ada Benjolan Bak Sanggul di Bagian Kepala, Ternyata Wanita Ini Alami Kista

Averus Kautsar - detikSumbagsel
Rabu, 04 Sep 2024 08:00 WIB
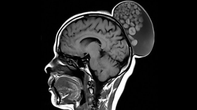
Foto: Benjolan kepala pada wanita India yang ternyata merupakan kista (Radiology Journal)
Jakarta -

Seorang wanita di India memiliki tumor di bagian kepalanya. Wanita berusia 52 tahun itu semula tak menganggap itu adalah hal yang tak lazim. Tumor itu berbentuk benjolan, seperti sanggul rambut.

Dilansir detikHealth dari Unilad, tumor tersebut sebenarnya sudah mulai tumbuh ketika wanita itu masih kecil. Meskipun ukuran kista itu sangat besar, pasien tidak merasakan sakit sama sekali. Itulah yang membuatnya belum pernah ke dokter sama sekali untuk memeriksakan kondisinya.

Wanita asal Bengaluru tersebut baru mencari bantuan tim dokter pada tahun lalu dan membuat dokter terkejut dengan kondisi tersebut.

Dokter yang memeriksakan kondisi wanita tersebut menuturkan, bahwa benjolan tumor tersebut sebenarnya adalah kista. Ukuran panjangnya sekitar 6 inci (15,24 cm), lebar hampir 4 inci (10,16 cm), dan tingginya hampir 5 inci (12,7 cm).

Setelah pemeriksaan lebih lanjut, dokter menemukan banyak 'bola' keratin dalam benjolan tersebut. Benjolan itu tersembunyi di balik kulit kepala dan rambutnya. Bila dilihat sekilas, benjolan tersebut nampak seperti sanggul rambut. Berdasarkan laporan yang dipublikasikan dari Radiology Journal, pasien itu akhirnya menjalani operasi.

"Teratoma kistik dewasa umumnya ditemukan di jaringan gonad dan di daerah kepala dan leher. Di kepala, mereka memiliki kecenderungan untuk muncul di rongga mata dan kulit kepala," tulis tim dokter dalam laporan tersebut.

"'Kelereng' yang ada di dalamnya adalah agregat bulat dari keratin, lemak, bahan sebasea, fibrin, dan rambut yang mengambang di dalam matriks cairan kista. Meskipun jarang terjadi, tanda 'kantong kelereng' dianggap patognomonik teratoma kistik dewasa di kepala dan leher," sambungnya.

Meskipun benjolan yang muncul nampak menyeramkan, itu sebenarnya bukan kanker. Setelah menjalani operasi, benjolan tersebut tidak tumbuh lagi di kepala wanita tersebut. Bahkan setelah enam bulan pascaoperasi.

Namun hingga saat ini, dokter masih belum mengetahui secara pasti mengapa benjolan tersebut bisa muncul.



Simak Video "Video: Cerita Istri Hengky Kurniawan Kena Kista Saat Mau Umrah"

(dai/dai)
Berita Terkait
Berita detikcom Lainnya
Berita Terpopuler

Video

detikNetwork