detikHealthSabtu, 08 Nov 2025 06:52 WIB
5 Kebiasaan yang Bisa Tingkatkan Risiko Batu Ginjal, Punya Salah Satunya?
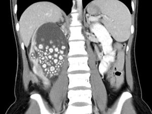
Batu ginjal merupakan endapan keras yang terbuat dari mineral dan garam yang terbentuk di saluran kemih. Ternyata ada 5 kebiasaan yang bisa memicunya terjadi.











































