detikSumutSenin, 23 Mar 2026 06:30 WIB
Kronologi Pria India Temukan Ginjal Ketiga, Tak Sengaja Saat Berobat
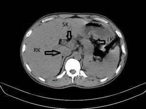
Seorang pria di India terkejut menemukan ginjal ketiga saat dirawat karena infeksi saluran kemih. Kondisi langka ini memicu masalah kesehatan yang serius.










































