detikHealthJumat, 20 Mar 2026 16:38 WIB
Pria 31 Tahun Niat Berobat gegara ISK Parah, Dokter Malah Temukan Ginjal Ketiga
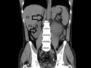
Seorang pria 31 tahun pergi ke RS untuk mengobati infeksi saluran kemih yang parah. Namun, dokter malah menemukan ada ginjal ketiga di dalam tubuhnya.











































