detikEduSabtu, 24 Jun 2023 12:00 WIB
Cacing Pita Bisa Membantu Semut Bertahan Hidup Lebih Lama, Kok Bisa?
Semut bisa berumur panjang setelah terkena cacing pita. Begini penjelasannya.
detikEduSabtu, 24 Jun 2023 12:00 WIB
Semut bisa berumur panjang setelah terkena cacing pita. Begini penjelasannya.
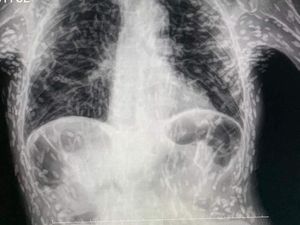
detikHealthSabtu, 06 Mei 2023 12:29 WIB
Seorang dokter asal Brazil membagikan gambar hasil sinar-X. Gambar itu memperlihatkan pasien memiliki kista sebagai hasil dari sisa infeksi larva cacing pita.
detikHealthRabu, 12 Apr 2023 10:00 WIB
Seorang pekerja di pengolahan limbah Spanyol mengalami infeksi cacing gelang yang sangat parah. Banyak larva merayap di bawah kulitnya.
detikHealthSenin, 15 Nov 2021 09:30 WIB
Seorang pria sehat tiba-tiba kejang dan harus dilarikan ke rumah sakit. Dokter menemukan cacing pita sepanjang 8 meter bersarang di otaknya selama 20 tahun.
detikHealthJumat, 26 Mar 2021 10:10 WIB
Tim dokter di Thailand dibuat terkejut dengan temuan 18 meter cacing pita di dalam tubuh seorang pria lansia. Hobi makan daging mentah diduga jadi penyebab.
detikFoodKamis, 25 Mar 2021 15:30 WIB
Pria asal Thailand ini hobi makan daging sapi mentah. Akibatnya ia temukan cacing pita belasan meter bersarang di dalam perutnya.
detikFoodJumat, 04 Des 2020 13:30 WIB
Wanita ini makan sushi tidak segar yang sudah disimpan selama berhari-hari. Akibatnya ia alami halusinasi, keram sampai insomnia selama berbulan-bulan.
detikHealthMinggu, 11 Okt 2020 18:05 WIB
Seorang wanita asal Australia mengaku sakit migrain selama 7 tahun. Saat penglihatannya kabur dan sakit kepala, ternyata ada larva cacing pita di otaknya.
detikHealthRabu, 11 Mar 2020 22:10 WIB
Seorang pria di China mengalami sakit kepala tak kunjung usai. Ternyata dokter menemukan cacing pita di otak pria ini.
detikHealthSelasa, 28 Jan 2020 08:24 WIB
Seorang pria sering nyeri kepala sampai muntah, namun tak pernah menemukan penyebabnya. Hingga suatu ketika, dokter menemukan ada cacing pita tumbuh di otaknya.