Pria 45 Tahun Tak Sengaja Tulang Ikan, Livernya Rusak Parah

Sara - detikSumbagsel
Rabu, 21 Mei 2025 10:00 WIB
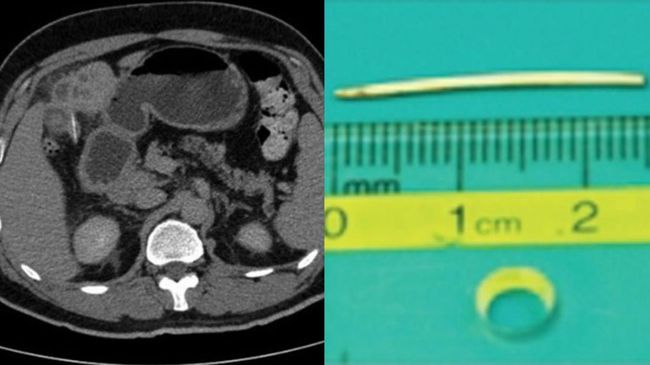
Foto: Liver rusak parah pada pasien yang tak sengaja tertelan tulang ikan. (National Library of Medicine)
Jakarta -

Seorang pria berusia 45 tahun dilarikan ke rumah sakit karena mengalami nyeri ulu hati dan demam selama 10 hari. Usai diperiksa lebih lanjut, ditemukan adanya abses atau massa berisi nanah di lobus kanan hati atau livernya.

Dilansir detikHealth, tim medis langsung bergerak untuk menolong pria tersebut dengan mengeluarkan abses dan memberikannya antibiotik selama 10 hari. Demamnya mereda dan pasien diperbolehkan pulang.

Sebulan kemudian, pria di Arab Saudi itu kembali dilarikan ke ruang gawat darurat karena mengalami nyeri perut selama enam hari berturut-turut dan demam lebih dari 39,1 derajat Celsius.

Di rumah sakit, pasien menjalani tes darah yang menunjukkan bahwa ia memiliki jumlah sel darah putih yang meningkat, sejenis sel imun yang melawan infeksi, dan kadar albumin atau protein yang diproduksi di hati lebih rendah dari rata-rata.

Selanjutnya, dokter pun melakukan rontgen perut, tetapi tidak menemukan kelainan.

"CT scan pada perut pasien menunjukkan bahwa ginjal, limpa, pankreas, dan kantung empedunya tampak normal," tulis dokter dalam laporan kasus yang dikutip dari Live Science.

Dalam laporan yang dipublikasikan di National Library of Medicine, tim dokter menemukan ada dua kelainan pada bagian tengah liver pasien. Salah satunya adalah lesi yang tampak seperti abses, dan yang lainnya adalah benda padat seperti ranting di dalam lesi tersebut yang berukuran sekitar 2,5 cm.

Berdasarkan hasil diagnosis, dokter menduga bahwa benda tak dikenal itulah yang menyebabkan abses, dan kemungkinan besar mengakibatkan abses pertama yang dialami pasien sebulan sebelumnya.

Setelah pasien diberikan antibiotik, dokter melakukan operasi perut yang disebut laparotomi untuk mengeluarkan benda asing tersebut. Ternyata itu adalah tulang ikan.

Pasien menyebut dirinya mungkin menelannya saat makan ikan sekitar lima bulan sebelumnya. Namun, ia tidak ingat merasakan sesuatu yang tidak biasa pada saat itu.

Setelah operasi, kondisi pasien mulai membaik. Selama tiga bulan berikutnya, rumah sakit memantau kesehatannya dan pasien sudah tidak mengalami masalah perut lagi.

"Sebagian besar tulang ikan kecil, jika tertelan, akan melewati usus tanpa membahayakan dalam waktu sekitar seminggu," tulis laporan kasus tersebut.



Simak Video "Video Rating Pemain RI vs Saudi: Yakob Sayuri Memble, Feras Albrikan MVP"

(dai/dai)
Berita Terkait
Berita detikcom Lainnya
Berita Terpopuler

Video

detikNetwork