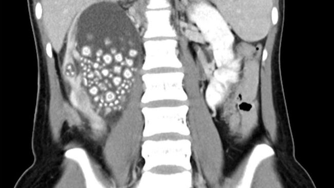
Batu ginjal merupakan endapan keras akibat penumpukan mineral dan garam yang terbentuk di ginjal atau saluran kemih. Penyebab terbentuknya batu ginjal pun bermacam-macam. mulai dari pola makan yang kurang sehat hingga berat badan berlebih
(hsa/hsa)
Batu ginjal merupakan endapan keras akibat penumpukan mineral dan garam yang terbentuk di ginjal atau saluran kemih. Penyebab terbentuknya batu ginjal pun bermacam-macam. mulai dari pola makan yang kurang sehat hingga berat badan berlebih