detikHealthRabu, 24 Sep 2025 18:03 WIB
Foto-foto Rontgen Temuan Benda Aneh dalam Tubuh, Paku hingga Kawat Besi
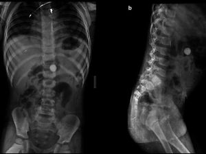
Melalui pemeriksaan rontgen, dokter seringkali menemukan kejadian medis aneh hingga temuan benda-benda asing dalam tubuh manusia. Ini beberapa di antaranya.











































