detikHealthMinggu, 07 Des 2025 19:15 WIB
4 Foto Mr P Remaja 17 Tahun Berkali-kali Kemasukan Benda Asing
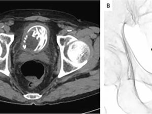
Seorang remaja laki-laki berusia 17 tahun memiliki riwayat memasukkan benda ke dalam uretranya sendiri berkali-kali. Mulai dari paku hingga sekrup.











































