detikHealthSelasa, 31 Okt 2023 20:31 WIB
Kronologi Pria Nekat Tancapkan 2 Paku ke Testis gegara Disuruh Teman Khayalan
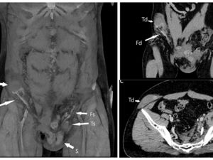
Seorang pria berusia 23 tahun baru-baru ini bikin heboh setelah nekat menancapkan dua paku ke skrotum testisnya imbas disuruh teman khayalan. Begini kisahnya.











































