detikHealthRabu, 13 Des 2023 18:00 WIB
Ngilu, Tenggorokan Pria Ini Robek Disebut gegara Sering Nahan Bersin
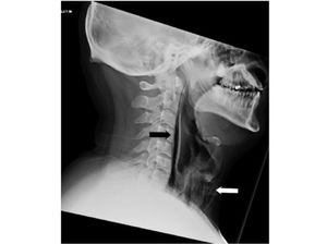
Seorang pria mengalami kondisi tak terduga akibat menahan bersin. Ia mengalami sakit parah di bagian lehernya hingga robekan di tenggorokan.










































