detikFoodJumat, 26 Okt 2018 10:20 WIB
Telan Sendok Demi Taruhan, Sendok Tersangkut di Tenggorokan Selama Setahun
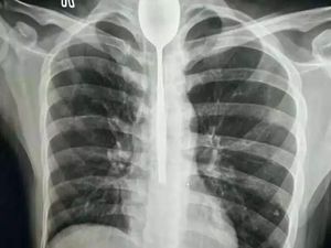
Seorang pria di China, harus dioperasi setelah ia menelan sendok berukuran besar demi sebuah taruhan. Selama satu tahun sendok itu berada dalam tenggorokannya.










































