detikHealthRabu, 01 Okt 2025 20:00 WIB
Merinding! Dokter Temukan Banyak Belatung Bersarang di Telinga Pria Ini
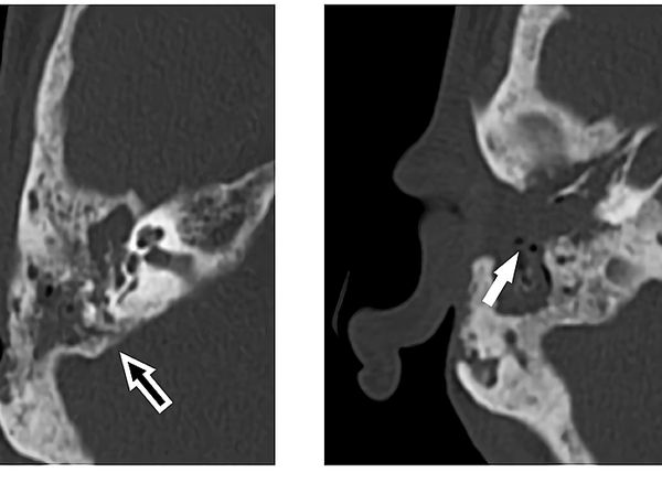
Seorang pasien berusia 65 tahun datang ke rumah sakit dengan masalah telinga. Setelah diperiksa, ternyata ada banyak belatung di telinganya.










































