detikHealth
Awal Mula Dokter Temukan Besi Nancap di Dalam Kaki Pasien Setelah 40 Tahun
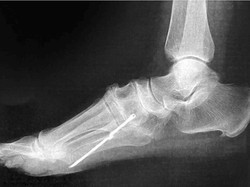
Dokter menemukan batang besi dalam kaki pasien seorang nenek. Batang besi tersebut baru ketahuan setelah 40 tahun bersarang di dalam kaki itu.
56 menit yang lalu







































