detikHealth
10 Cara Menghilangkan Karang Gigi Secara Alami dan Cepat
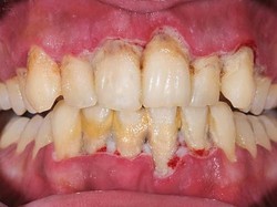
Ada beberapa cara menghilangkan karang gigi secara alami yang bisa dilakukan di rumah. Simak penjelasanya di sini yuk.
Selasa, 30 Mei 2023 17:15 WIB







































