Pria di Jatim Masukkan Sikat Gigi ke Penis, Dokter Jelaskan Kelainannya

Esti Widiyana - detikJatim
Rabu, 06 Mar 2024 11:30 WIB
Pria di Jatim masukkan sikat gigi ke penis (Foto: International Journal of Surgery Case Reports)
Surabaya -

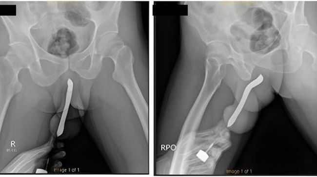
Seorang pria di Jatim terpaksa menjalani operasi karena memasukkan sikat gigi di dalam penisnya. Hal itu dilakukan pasien untuk mendapat kepuasan seksual.

Kasus pasien ini dipublikasi jurnal medis internasional. Kasus yang dipublikasikan di International Journal of Surgery Case Reports menyebut pria itu ke rumah sakit setelah sikat gigi yang ditancapkan ke alat vitalnya itu patah menjadi dua saat dia berhubungan seks.

Saat itu pria berusia 43 tahun mengalami penis 'patah' atau fraktur penis saat melakukan hubungan seksual dengan posisi 'woman on top'. Bahkan sempat membuat sayatan kecil tahun 2017 di penisnya untuk kepuasan seksual.

Dokter Spesialis Andrologi Seksual dan Anti Medicine RSU dr Soetomo, dr Supardi SpAnd (K) menjelaskan kelainan seksual pada kasus ini. Khususnya kelainan dengan cara memasukkan suatu benda ke dalam alat vital.

"Sepengetahuan saya, seseorang yang memasukkan sesuatu ke dalam alat kelamin untuk mencari kepuasan, disebut kelainan parafilia. Tapi kalau di laki-laki harus mencari tahu, sebetulnya apa yang dia cari," kata pria yang aktif sebagai Staff Pengajar dan dokter di RSU dr Soetomo saat dihubungi detikJatim, Rabu (6/3/2024).

Menurutnya, bila ada pria memiliki riwayat di area uretranya, seperti terkena penyakit kelamin, seringkali muara uretra terasa mudah gatal hingga nyeri. Namun ada juga yang ingin mendapatkan sensasi dengan memainkan sesuatu ke dalam muara uretra.

"Misalnya, saya pernah punya pasien di mana sebelumnya ada riwayat infeksi saluran kemih karena kuman GO (Gonore atau kencing nanah). GO ini bersarang di muara eksterna. Di muara uretra ada gua kecil yang suka ditempati kuman. Setelah sembuh sering menimbulkan jaringan ikat atau menimbulkan sensasi seperti ingin digaruk di muara uretra," tambahnya.

Ini, tambah pria yang juga praktik di RS Adi Husada Undaan, muncul seperti sensasi gatal. Dan itu membuatnya mempunyai kebiasaan memanipulasi area uretranya. Baik dengan memasukkan hal-hal yang tidak wajar sampai dengan super aneh.

"Biasanya dimulai dengan benda kecil, misalnya bulu dan lainnya, lama-lama menjadi spektakuler apabila uretra melebar. Kalau berlanjut terus menerus dan menimbulkan keinginan untuk melaksanakan kepuasan seksual, kita menyebutnya (Kelainan) parafilia," jelasnya.

Sementara alasan seksual seseorang memasukkan benda ke dalam alat kelamin harus diketahui latar belakang sang pasien. Hal tersebut dilakukan dari mana, apakah dari rasa gatal yang terus-menerus hingga mendapat kenikmatan saat memasukkan sesuatu ke uretra. Karena belum tentu seseorang mengalami kelainan parafilia.

"Tapi kalau sudah menjadi seksual oriented untuk mendapatkan kepuasan seksual dengan memasukkan alat-alat tertentu, baru dikategorikan parafilia," pungkasnya.



Simak Video "Video: PDGI Ungkap Penyebab Banyak Warga RI Menderita Sakit Gigi "

(esw/fat)
Berita Terkait
Berita detikcom Lainnya
Berita Terpopuler

Video

Foto

detikNetwork