detikHealthJumat, 05 Apr 2019 15:45 WIB
Disangka Korban Pembunuhan, Tak Tahunya Tersedak Tusuk Gigi
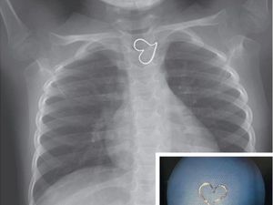
Tusuk gigi yang nyangkut di tenggorokan mengakibatkan infeksi hingga terjadi gagal jantung dan kematian. Tusuk gigi kerap luput dari pemeriksaan sinar X.











































