
Kisah Dokter Keluarkan Dumbell 2,2 Kg yang Nyangkut di Anus Pria
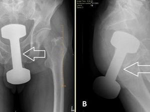
Seorang pria di Pennsylvania harus dirawat setelah dumbell 5 pon terjebak di rektumnya. Tim medis berhasil mengeluarkannya tanpa operasi.
Seorang pria di Pennsylvania harus dirawat setelah dumbell 5 pon terjebak di rektumnya. Tim medis berhasil mengeluarkannya tanpa operasi.
Seorang wanita di India dilarikan ke rumah sakit usai tertusuk batang logam sepanjang hampir 60 cm. Logam berkarat itu masuk ke dalam tubuh melalui rektumnya.