detikHealthJumat, 14 Agu 2020 16:36 WIB
Jessica Mila Akui Idap Skoliosis, Begini Cara Deteksi Dininya
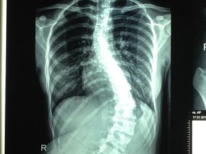
Aktris cantik Jessica Mila mengaku dirinya mengidap skoliosis, yakni kelainan tulang punggung dengan kondisi bengkok. Begini cara deteksi dini skoliosis.










































