MENU
detikcom
Terpopuler
Live TV
Kirim Tulisan
Kategori Berita
detikNews
detikFinance
detikInet
detikHot
detikSport
Sepakbola
detikOto
detikTravel
detikFood
detikHealth
Wolipop
DetikX
20Detik
detikFoto
detikEdu
detikHikmah
detikProperti
detikPop
Daerah
detikJateng
detikJatim
detikJabar
detikSulsel
detikSumut
detikBali
detikSumbagsel
detikJogja
detikKalimantan
Layanan
For Your Business
Pasang Mata
adsmart
detikEvent
Trans Snow World
Trans Studio
Flying Over Indonesia
berbuatbaik.id
ziswafctarsa.id
Signature Awards
Bingkai.id
Trans Hotel Group
Community Connect
NEW
Rekomendit
NEW
Top Up & Tagihan
Game
Paket Data
Pulsa Prabayar
Token PLN
E-wallet
BPJS Kesehatan
PLN Pascabayar
PDAM
TV & Internet
Streaming
Detik Network
Hai Bunda
CNN Indonesia
CNBC Indonesia
InsertLive
Beautynesia
Female Daily
CXO Media
Berita dan Informasi Tubuh Terkini dan Terbaru Hari ini - detikcom
Semua Berita
Berita
Foto
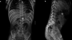
Foto-foto Rontgen Temuan Benda Aneh dalam Tubuh, Paku hingga Kawat Besi
Kemaluan dan Mulut Jadi Penyebab Orang Banyak Masuk Neraka
Potret Hailey Bieber Pamer Body Goals, Ternyata Ini Rahasianya
Potret Tren Pamer Tubuh Kurus, Taruh Ikan di Tulang Selangka
1