detikHealthKamis, 20 Mar 2025 11:35 WIB
Kasus Langka di Indonesia, Dokter Temukan Dua Batu di Miss V Wanita
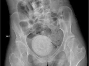
Seorang wanita 30 tahun terkejut saat dokter menemukan dua batu besar di vaginanya saat konsultasi fertilitas. Satu-satunya kasus yang dilaporkan di Indonesia.










































