detikSulselRabu, 07 Jun 2023 05:21 WIB
Tanggal 8 Juni Memperingati Hari Apa? Ini Daftarnya!
Sejumlah hari penting diperingati pada hari Kamis, 8 Juni 2023 ini. Lantas tanggal 8 Juni memperingati hari apa saja?
detikSulselRabu, 07 Jun 2023 05:21 WIB
Sejumlah hari penting diperingati pada hari Kamis, 8 Juni 2023 ini. Lantas tanggal 8 Juni memperingati hari apa saja?
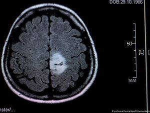
detikNewsRabu, 07 Jun 2023 05:13 WIB
Tanggal 8 Juni diperingati sebagai Hari Tumor Otak Sedunia. Simak sejarah Hari Tumor Otak Sedunia dan cara memperingati pada tanggal 8 Juni.