Penis Pria Usia 65 Tahun Ini Harus Diamputasi gegara Membusuk, Begini Sebabnya

Sarah Oktaviani Alam - detikSumut
Senin, 09 Sep 2024 06:00 WIB
Foto: Urology Case Reports
Jakarta -

Seorang pria berusia 65 tahun di Meksiko harus menjalani operasi untuk mengamputasi penisnya. Hal ini terjadi akibat konsumsi alkohol yang berlebihan.

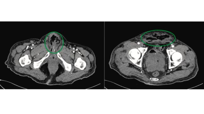
Dilansir dari detikHealth, pria yang tak disebutkan identitasnya itu pergi ke klinik kesehatan dengan keluhan demam dan muncul suara berderak di area tulang kemaluannya. Kemudian, keluar banyak cairan nanah berwarna kehijauan, berbau busuk dari uretra dan kulit preputium, skrotum, dan dubur.

Dokter menemukan pria tersebut mengalami pembesaran prostat dengan banyak abses atau penumpukan nanah. Untuk menangani pasien itu, dokter memberikan transfusi darah, antibiotik, dan insulin.

Tetapi, pada kunjungan kedua ke rumah sakit kondisi pria itu semakin parah. Dokter harus mengamputasi penisnya karena jaringan yang ada di dalamnya menghitam akibat gangren akibat nekrosis penis total.

Dalam hal ini, penyalahgunaan alkohol dapat menyebabkan gangren dan buang air kecil yang berlebihan.

"Perkembangan gangren iskemik lokal pada penis merupakan kejadian yang sangat langka. Sebab, pasokan darah organ tersebut melimpah dan memiliki morbiditas dan mortalitas yang tinggi karena risiko sepsis yang tinggi," tulis para dokter yang dipublikasikan di Urology Case Reports.

"Dalam kasus ini, presentasi gangren iskemik penis dikaitkan dengan kombinasi beberapa faktor, yakni gangren Fournier sekunder akibat pemasangan kateter transuretral traumatis, diabetes melitus yang tidak terkontrol, dan penyakit arteri perifer. Penektomi total dilakukan karena kurangnya jaringan yang layak untuk penektomi parsial atau rekonstruksi," jelas para dokter.

Melihat kondisinya itu, pasien diberikan konseling secara ekstensif mengenai indikasi pembedahan, potensi konsekuensi jangka pendek dan jangka panjang, serta pemasangan kateter sistostomi.



Simak Video "Video: Alat Vital Siswa PAUD di Solo Tergunting Teman Usai Belajar Prakarya"

(dhm/dhm)
Berita Terkait
Berita detikcom Lainnya
Berita Terpopuler

Video

detikNetwork