detikHealth
Ngilu! Bocah Ini Tak Sengaja Telan Sendok, Baru Dikeluarkan 10 Hari Kemudian
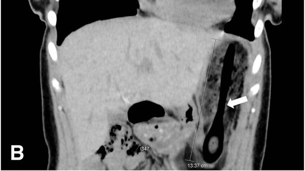
Dokter menemukan sebuah sendok sepanjang 11 cm di dalam tubuh bocah berusia 13 tahun. Sendok itu baru dikeluarkan 10 hari setelah tertelan.
Minggu, 30 Nov 2025 14:02 WIB







































