detikHealthSelasa, 17 Mar 2020 05:00 WIB
Beredar Penampakan Paru-paru Pasien Virus Corona Pertama di Italia
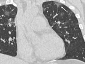
Sebuah laporan mengungkap penampakan paru-paru 2 pasien virus corona COVID-19 pertama di Italia. Keduanya adalah warga Wuhan yang sedang berlibur ke Eropa.










































