detikHealthJumat, 22 Jun 2018 12:45 WIB
Kaki Mati Rasa, Ternyata Ada 2 Liter Feses di Perut Pria Ini
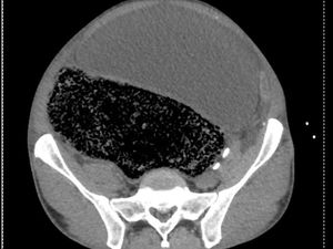
Pria 57 tahun mengeluh mendadak tak bisa berjalan. Setelah menjalani pemeriksaan, dokter menemukan 2 liter feses berada dalam perutnya. Bagaimana bisa?










































