detikHealth
Karena Kondisi Tak Lazim, 80 Persen Dada Pria ini Tertutup Jantung
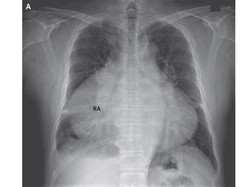
Pria ini datang ke rumah sakit dalam keadaan kaki dan tangan membengkak. Tak tahunya ada yang aneh dengan jantungnya.
Senin, 15 Agu 2016 08:35 WIB







































